PREDICTABLE RESULTS WITH FULL ARCH ZIRCONIA HYBRIDS

South Africa Cape Town /Johannesburg 2017 

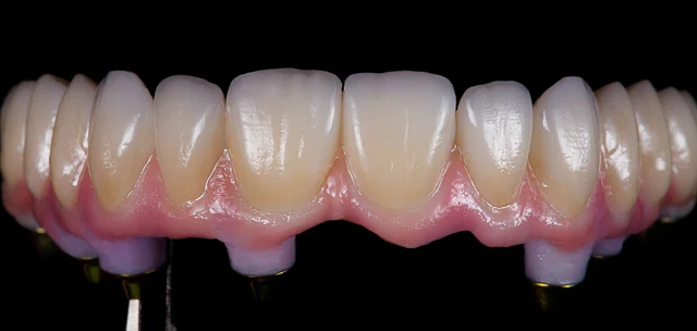
Full Arch Zirconia Hybrids; Predictable Results with GC Initial Zr-FS and GC Initial Zirconia. This two day course will show you how to achieve predictable results with GC Initial Zr-FS, GC Lustre Pastes and GC Initial Zirconia during the fabrication of furll arch zirconia hybrids.

Far too many variables (heat rate, holding time, cracking, cooling) hinder the fabrication of full arch zirconia hybrids. Added to that is the fact that dental technicians have no set formula to follow during fabrication of these hybrids - we have become accustomed to following a standard formula when fabricating single crowns and small span bridges (how to grind, how to steam, what temperatures, cooling, etc.). With full arch zirconia hybrids, technicians must rely on past experience, intuition, and logic to achieve the sought after outcome for a case. Yet a successful outcome is also largely dependent on the preparation in the dental practice, as well as the vital communication between the dentist and the technician (included in that communication is the relaying of pertinent information via photography). In the dental practice, verification jigs, pick up impression techniques, bite management, and understanding the cleansability of the full arch zirconia hybrid are crucial to the successful outcome of such cases.

Day 1 ....8 am -5pm

Day 1 ..Will consist of lectures, hands-on demos ,students physically completing and being taught how to handle greenstage zirconia , This will include characterization of green stage, infiltration with color liquids and then overnight sinter of samples to be ready for 2nd day .

 

Day 2  ....8am -pm

Day 2 .. Students will take the sample arch from the overnight sinter to 100% completion of finish layered sample. This will include all steps using GC Initial  products .

During firings of sample arch lectures will take place on all protocols to be able to deliver screw retained full arches successfully